Compartir en Redes sociales
El especialista en estética dominicano Rony Joubert afirma que los nuevos materiales dentales, los actuales protocolos clínicos y la habilidad clínica de los odontólogos permiten hoy día lograr restauraciones artificiales que parecen totalmente naturales.
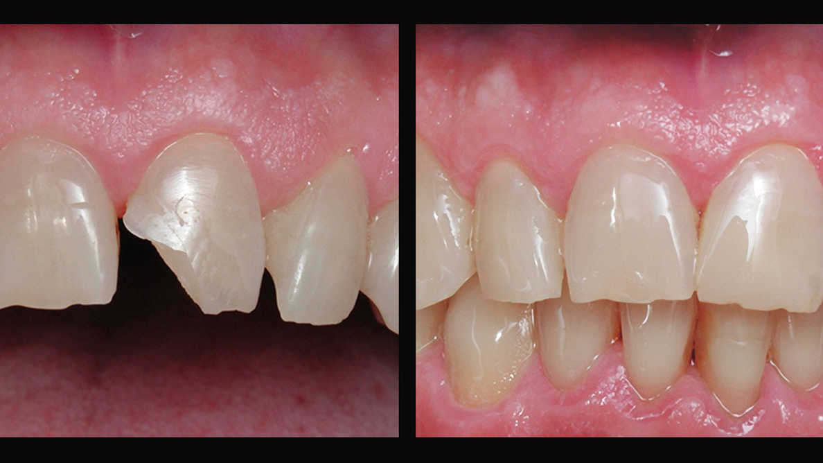
Caso Clinico
Fundamentalmente, hay dos tipos de materiales estéticos los que hoy podemos utilizar en nuestros procedimientos restauradores. Unos son los materiales dentales de uso directo (resinas compuestas, ionómeros de vidrio o algún híbrido de éstos), y los otros son las cerámicas dentales para utilización en procedimientos indirectos, que pueden o no contener vidrio en su composición.
En el caso de las resinas compuestas o “composites”, estos materiales de uso directo son adhesivos a la estructura dental, altamente resistentes a la compresión y al desgaste, de fácil manejo y con unas propiedades estéticas muy buenas. De hecho, existen composites para imitar al esmalte y otros a la dentina, de forma tal que a través de procesos incrementales podemos hacer una restauración que reproduzca básicamente las estructuras que componen la corona clínica de los dientes.


Para unir las resinas compuestas al diente debemos utilizar dos estrategias. Una para adherirnos al esmalte dental mediante la técnica de grabado ácido, y otra para la adhesión a la dentina, la cual podría demandar o no de la utilización de ácido fosfórico como agente preparador de la superficie.
En este caso clínico, solo grabamos dentina superficial o esclerosada. La dentina de mediana profundidad preferimos protegerla con cementos de polialquenoato de vidrio, mientras que la dentina muy permeable o cercana a la pulpa, aún más, la expuesta, la manejamos con una colocación puntual de cemento de hidróxido de calcio, para luego adherirnos a la dentina del fondo de la preparación con un material para forro cavitario. Luego, sobre esto hay que colocar por capas el material restaurador final a base de resina compuesta.
Cuando hacemos adhesión resinosa a dentina, utilizamos adhesivos autoadheribles (self-etching), los cuales tienen ácidos débiles en su composición que graban parcialmente la estructura sin remover el barro dentinario, sin destapar los tubulos, por lo que la sensibilidad postoperatoria es nula o queda muy disminuida. En esmalte, siempre biselamos y grabamos.
En las restauraciones que involucran las superficies vestibulares y palatinas, preferimos utilizar un composite de uso universal o reconstruir toda la cara palatina en una resina de alta resistencia, y la cara vestibular confeccionarla con un material de alto pulido.
Para poder imitar la naturaleza con la restauración artificial en resina compuesta, debemos hacer una correcta selección del color de la pieza, determinar los volúmenes de composite de esmalte y dentina a colocar, generar unas dimensiones coronarias correctas, así como una anatomía adecuada de la restauracion, y finalmente, crear una textura y pulido similar al resto del diente. Todos estos parámetros permitirán que al chocar la luz sobre la restauración ésta se refleje, absorba y desvié adecuadamente, produciendo que la restauración sea imperceptible. Vale decir, similar al diente
Pasos para restaurar fractura de ángulo en el sector anterior:
1) Verificación de los contactos oclusales en oclusión céntrica y excursiones mandibulares.
2) Colocar anestesia en el área. Limpiar diente y tomar color.
3) Remoción del tejido mecánicamente débil o afectado por infección o trastorno de formación.
4) Preparación del bisel periférico en el esmalte, ubicándolo antes o después del contacto oclusal según posibilidad.
5) Desinfección de la dentina.
6) Manejo de la estructura dentinaria.
- a) Dentina superficial o esclerosada, grabamos 10 segundos.
- b) Dentina media, colocamos ionómero de vidrio. Opción de autoadhesión resinosa.
- c) Dentina vecina a la pulpa o muy permeable (recién cortada), cemento de hidróxido puntual en zona más profunda, luego forrar la dentina.
- d) Antes de colocar el ionómero de vidrio, preparamos la dentina con ácido poliacrílico al 10% por 10 segundos.
7) Colocación de sistema adhesivo resinoso. Chorro de aire para esparcir y evaporar el solvente.
8) Fotoactivación con lámpara con longitud de onda compatible con el fotoiniciador de adhesivo.
9) Crear pared palatina con composite alta resistencia al desgaste. Colocar incrementalmente cuerpo de dentina (masa) y color del diente. Polimerizar.
10) Colocar composite tipo esmalte por vestipular.
11) Dar macrodetalle, dar microdetalles, alisar y pulir.
12) Verificar oclusión y desoclusión.
* El Prof. Dr. Rony Joubert es un experto en rehabilitación bucal e implantes y conferencista internacional que ejerce en Santo Domingo, República Dominicana. Contacto: ronyjoubert@yahoo.com
Endo Dental Care
Endo Dental Care, Clínica Odontológica liderada por la Dra. Vanessa Moreno. Servicios Odontológicos
Ver Perfil
Catalogo de Servicios